Dentistas
en Toledo
Dentistas en Toledo y provincia
En la clínica dental de la Dra. Begoña Gutiérrez Abascal encontrarás especialistas como endodoncistas, dentistas infantiles y cirujanos que realizarán los mejores tratamientos. Visítanos y te informaremos. Estamos en la ciudad de Toledo a tu completa disposición. Creamos un ambiente relajado para que la visita al dentista se convierta en una experiencia lo más divertida y amena posible. Además, también te podemos ayudar a que pierdas el miedo a venir a vernos.
Lo bueno de nuestro centro es que atendemos tanto a niños como a adultos. Tenemos todos los medios técnicos y humanos para llevarlo a cabo. Tráenos a tu hijo para que pronto empecemos a revisarle la boca. La idea es poder prevenir la aparición de futuros problemas. Por todo ello nos hemos convertido en toda una referencia no solo en el sector, sino también en la ciudad en la que nos encontramos situados, Toledo.
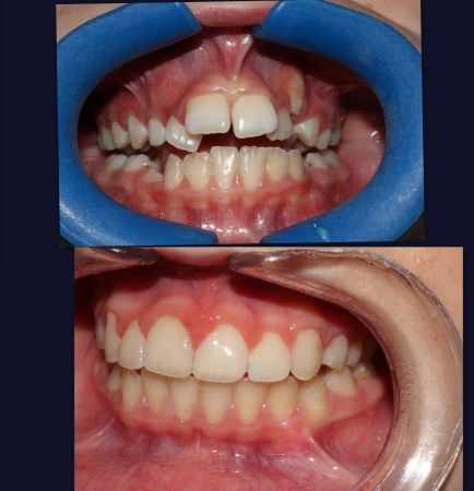
A continuación publicamos una galería de imágenes con nuestro equipo, nuestras instalaciones y algunos casos para que te hagas una idea de primera mano de las habilidades de nuestro equipo humano y de los tratamientos odontológicos que podemos ofrecerte.
Navega por nuestra web y
llámanos al 925 222 025.
Contacto
Dirección | Calle Ecuador, 7 - 1ºB
45004 TOLEDO (Toledo)
E-mail | clinicamarina@yahoo.com
Teléfono | 925 222 025
















